地方中心/綜合報導
臺北榮總新竹分院表示,某天下午,一位 67 歲女性病患來到肝膽腸胃科蔡志奇主任的診間,焦急地說:「醫生,我中午吃魚的時候覺得有根刺卡在左邊喉嚨,現在吞口水都很痛!」。她剛剛已經去過耳鼻喉科,但檢查後沒看到魚刺,因此被轉來腸胃科。
在腸胃科,經常遇到異物卡在喉嚨或食道的案例。通常,患者的症狀可以分為兩種情況:
一、感覺喉嚨怪怪的、卡卡的,但吞口水不會特別痛,也沒有明顯痛點—這種情況可能是魚刺曾經卡住,但已經滑入胃裡,目前的不適感來自局部受傷或發炎。
二、有明確的痛點,甚至痛到連口水都吞不下去—這可能代表魚刺仍然卡在食道內,需要進一步處理!
這位病患清楚地指出疼痛點在左側脖子,高度懷疑魚刺卡在上食道括約肌的狹窄處,因此我們馬上安排胃鏡檢查。
內視鏡+小工具,成功取出魚刺:
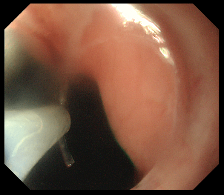
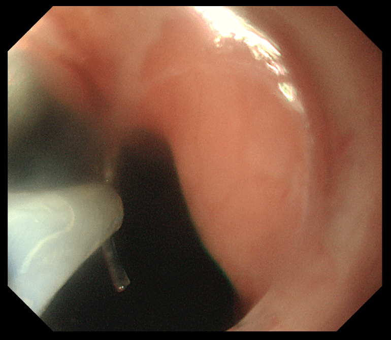
在胃鏡前端裝上透明套(透明帽),這個小工具可以幫助內視鏡在彎曲或狹窄的區域維持適當距離,讓檢查更順利。果然,胃鏡檢查發現一根約 2 公分長的魚刺,卡在左側食道上方!
第一步:先用夾子嘗試夾住魚刺,但魚刺竟然斷裂,無法一次取出。
第二步:改用息肉切除環,成功將整根魚刺套住並取出。
魚刺順利取出後,病患的疼痛感立即消失,鬆了一口氣,卻也直呼:「下次不敢吃魚了!」。
透明套的妙用:
其實,內視鏡前端的透明套不只用來取異物,還能廣泛應用在:
一、內視鏡黏膜切除術(EMR)、內視鏡黏膜下剝離術(ESD)。
二、急性消化道出血的止血輔助。
三、幫助尋找出血點,提高檢查精準度。
一個小小的工具,卻能在許多內視鏡檢查與治療中發揮大大幫助!
溫馨提醒:吃魚時務必細嚼慢嚥,如果懷疑魚刺卡住,避免用吞飯、喝醋等土方法,以免讓魚刺卡得更深,應儘速就醫喔!














